ホワイトニングとは、その名の通り、特殊な薬剤を使用して歯を白くする治療法です。
健康な歯を傷つけることなく治療ができますので、歯を削りたくないという方におすすめします。
ホワイトニングには、歯科医院に通院して行う「オフィス・ホワイトニング」とご自宅で行う「ホーム・ホワイトニング」があります。
ホワイトニングとは、その名の通り、特殊な薬剤を使用して歯を白くする治療法です。
健康な歯を傷つけることなく治療ができますので、歯を削りたくないという方におすすめします。
ホワイトニングには、歯科医院に通院して行う「オフィス・ホワイトニング」とご自宅で行う「ホーム・ホワイトニング」があります。
※各費用については、当時のもので、現在とは異なる場合があります。

A


B


C


D


E
| 費用 | ホワイトニング:約5万円 矯正治療:約85万円 |
|---|---|
| 治療期間 | 約3年 |
| デメリット・副作用・リスク | 矯正治療中の違和感 ホワイトニングの最中に軽くしみるような痛みがある場合がある 矯正治療後に歯列の後戻りの可能性がある 着色性の強い飲食物でホワイトニングの後戻りの可能性がある |
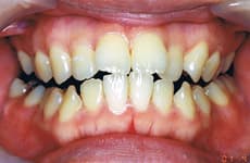
before

過去に内服した抗生物質の影響で、著しい歯の変色が認められます。

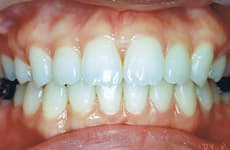
after

ホームホワイトニングを行うことによって、かなりの改善がみられ審美性が向上しています。
| 費用 | ホワイトニング:約5万円 |
|---|---|
| 治療期間 | 約3ヶ月 |
| デメリット・副作用・リスク | ホワイトニングの最中に軽くしみるような痛みがある場合がある 着色性の強い飲食物でホワイトニングの後戻りの可能性がある |
