ホワイトニング・オールセラミック・歯列矯正
審美歯科では歯の漂白(ホワイトニング)や金属を全く使用しない材料(オールセラミック)を使って、より美しく、天然の歯と区別の付かない修復治療が可能となっています。 また、当院では矯正専門医とのチームアプローチで、歯列不正に対して矯正治療を行うことによって、より理想的なかみ合わせと美しい口元の実現が可能となっています。
審美歯科では歯の漂白(ホワイトニング)や金属を全く使用しない材料(オールセラミック)を使って、より美しく、天然の歯と区別の付かない修復治療が可能となっています。 また、当院では矯正専門医とのチームアプローチで、歯列不正に対して矯正治療を行うことによって、より理想的なかみ合わせと美しい口元の実現が可能となっています。
※各費用については、当時のもので、現在とは異なる場合があります。
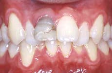
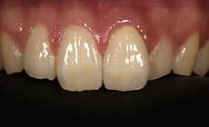
before

歯の変色に加え、歯周病や、著しい歯列不正が見られます。

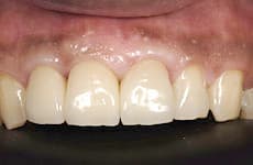
after

矯正治療と歯の漂白、オールセラミックによる治療を行うことによって、非常に美しい口元が実現します。
| 費用 | 矯正治療:約85万円 セラミック治療:13万円 |
|---|---|
| 治療期間 | 約3年 |
| デメリット・副作用・リスク | 治療期間が長い,矯正治療中の違和感 強い咬合力でセラミックが割れる可能性がある |
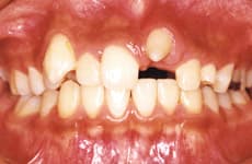
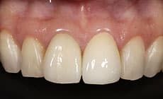
before

左上前歯が自然脱落し、形態異常歯が萌出してきました。

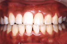
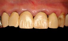
after

矯正治療とオールセラミックによる修復によって、歯の形態と位置異常が改善できます
| 費用 | 矯正治療:約85万円 セラミック治療:13万円 |
|---|---|
| 治療期間 | 約3年 |
| デメリット・副作用・リスク | 治療期間が長い,矯正治療中の違和感 強い咬合力でセラミックが割れる可能性がある |
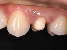
before

事故により左前歯が破折しています。

after

オールセラミックにより修復しました。天然歯と全く区別なく治療ができました。
| 費用 | セラミック治療:13万円 |
|---|---|
| 治療期間 | 1〜2ヶ月 |
| デメリット・副作用・リスク | 強い咬合力でセラミックが割れる可能性がある |
before

約10年前に右上前歯にセラミックの治療が施されています。審美的に問題があります。

after

オールセラミックによる修復とホワイトニングによって審美的に改善しました。
| 費用 | ホワイトニング:約2万5千円 セラミック治療:13万円 |
|---|---|
| 治療期間 | 約3ヶ月 |
| デメリット・副作用・リスク | 強い咬合力でセラミックが割れる可能性がある ホワイトニングの最中に軽くしみるような痛みがある場合がある 着色性の強い飲食物でホワイトニングの後戻りの可能性がある |
before

約10年前に左上前歯にセラミックの治療が施されています。審美的に問題があります。

after

オールセラミックによる修復と歯肉の形成外科によって審美的に改善しました。
| 費用 | 歯周外科処置:約1万円 セラミック治療:13万円 |
|---|---|
| 治療期間 | 約8ヶ月 |
| デメリット・副作用・リスク | 術後の軽度の一時的な歯肉の腫れと痛み 強い咬合力でセラミックが割れる可能性がある |
before

プラスチックの歯によって修復されています。色、形態とも不自然で、不適合のため、歯周病の原因にもなっています。

after

歯周病の治療を行い、オールセラミックによって修復しました。審美的に大きく改善しました。
| 費用 | セラミック治療:13万円(1歯) 78万円(6歯) |
|---|---|
| 治療期間 | 約8ヶ月 |
| デメリット・副作用・リスク | 強い咬合力でセラミックが割れる可能性がある |
before

従来のセラミックのブリッジが破折しています。右上の前歯が少し長く、形態がアンバランスです。

after

歯肉の処置を行い、左右の歯の長さを整えました。ジルコニアのブリッジにより審美的に修復できました。
| 費用 | 歯肉の処置:7万円 ジルコニアブリッジ:42万円 |
|---|---|
| 治療期間 | 約9ヶ月 |
| デメリット・副作用・リスク | 術後の軽度の一時的な歯肉の腫れと痛み 強い咬合力でセラミックが割れる可能性がある |
before

after
奥歯の部分をオールセラミックの詰め物とメタルセラミックのブリッジで修復しました。
| 費用 | セラミックの詰め物:7万円(1歯) 14万円(2歯) メタルセラミック:10万円(1歯) 60万円(6歯) |
|---|---|
| 治療期間 | 約9ヶ月 |
| デメリット・副作用・リスク | 強い咬合力でセラミックが割れる可能性がある |
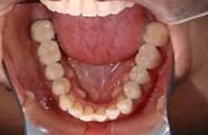
before

after
金属を使用しないことで、奥歯であっても全く天然歯と区別のつかない状態に回復可能です。
| 費用 | セラミックの詰め物:8万円(1歯) |
|---|---|
| 治療期間 | 約1ヶ月 |
| デメリット・副作用・リスク | 強い咬合力でセラミックが割れる可能性がある |
before

after
グラスファイバーを利用した歯の土台とオールセラミッククラウンの修復によって、奥歯であっても、天然歯とほとんど区別が付きません。
| 費用 | セラミック:12万円 |
|---|---|
| 治療期間 | 1〜2ヶ月 |
| デメリット・副作用・リスク | 強い咬合力でセラミックが割れる可能性がある |
before

歯列のゆがみがあり、銀色の奥歯で、審美的な問題も非常に大きい状態です。

after

歯列矯正を行い、メタルセラミックで修復しました。
| 費用 | 歯列矯正:約20万円 メタルセラミック:10万円(1歯) 40万円(4歯) |
|---|---|
| 治療期間 | 1年〜1年半程度 |
| デメリット・副作用・リスク | 矯正治療中に装置の違和感がある 強い咬合力でセラミックが割れる可能性がある |
before

合成樹脂のかぶせと詰め物で修復してあり、審美的な問題が非常に大きい状態です。

after

メタルセラミックで修復し、審美的に大きな改善ができました。
| 費用 | メタルセラミック:11万円(1歯) 33万円(3歯) |
|---|---|
| 治療期間 | 4〜6ヶ月程度 |
| デメリット・副作用・リスク | 強い咬合力でセラミックが割れる可能性がある オールセラミックと比較するとやや自然感がない 歯肉が下がると歯肉との境に暗いラインが出現する可能性がある |
